Soulbernowo

Galeria z ogólnym dostępem. Można się tu pochwalić swoją pociechą!

Moderator: Apcik

Re: Soulbernowo

Postprzez farida » 2013-12-05, 09:12

Wszystkiego dobrego dla Bibi <winko>
Avatar użytkownika
farida
 
Posty: 1197
Ostrzeżeń: 0
Dołączył(a): 2011-08-10, 21:42
Lokalizacja: Koronowo
psy: Farida, Fantazja, Bafi, Keysi
Hodowla: Berneńska Dolina

Re: Soulbernowo

Postprzez kreska » 2014-02-24, 18:19

obrazek
Obrazek został zmniejszony.
obrazek
Obrazek został zmniejszony.
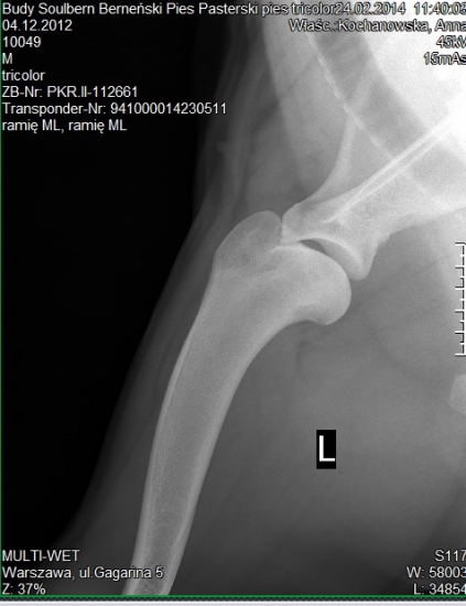
W dniu dzisiejszym BUDY Soulbern czyli Balus jako pierwszy z rodzeństwa przeszedł pozytywnie, komplet prześwietleń pod kątem dysplazji stawów biodrowych, łokciowych i OCD stawów barkowych .
Balus jest wolny od dysplazji z wynikiem HD B, ED 0/0, OCD neg. :-D
Teraz czekamy 12 miesięcy i powtórka badań <tak>

bark lewy
obrazek
Obrazek został zmniejszony.
bark prawy
obrazek
Obrazek został zmniejszony.
łokieć lewy
obrazek
Obrazek został zmniejszony.
łokiec prawy
obrazek
Obrazek został zmniejszony.
bioderka
obrazek
Obrazek został zmniejszony.

obrazek
Obrazek został zmniejszony.

pozdr
Avatar użytkownika
kreska
 
Posty: 5498
Ostrzeżeń: 0
Dołączył(a): 2006-11-29, 23:48
Lokalizacja: Zielonka
psy: Fibi,Bibi,Balu,Lila,Lilawati, Solo i Łatka(*)
Hodowla: SOULBERN

Re: Soulbernowo

Postprzez marieanne » 2014-02-24, 20:06

Gratulacje! <okok>
A chłopak śliczny - wczoraj jak na FB wrzuciłaś, to sobie pociumkałam <buja_w_oblokach>
Avatar użytkownika
marieanne
Moderator Działu
 
Posty: 2615
Ostrzeżeń: 0
Dołączył(a): 2011-08-08, 21:04
Lokalizacja: Białystok
psy: BPP x3: Bohun, Zuzia i Bromba :)
Hodowla: Śledzikujący Bern FCI

Re: Soulbernowo

Postprzez aga.s » 2014-02-24, 21:09

Balusku super :okok: :okok: :okok:
Avatar użytkownika
aga.s
 
Posty: 1578
Ostrzeżeń: 0
Dołączył(a): 2011-06-27, 12:56
psy: Indiana Jones , Basanti i Gabana BPP
Hodowla: Melle Dulcior

Re: Soulbernowo

Postprzez bertosz05 » 2014-02-24, 21:38

Balus jest ok :]
Avatar użytkownika
bertosz05
 
Posty: 743
Ostrzeżeń: 0
Dołączył(a): 2012-05-18, 11:21
Lokalizacja: Łódź
psy: Berinda,Amira,Chappie
Hodowla: BERTOSZ

Re: Soulbernowo

Postprzez agas » 2014-02-25, 08:51

Pięknie, gratulacje !
Avatar użytkownika
agas
 
Posty: 1758
Ostrzeżeń: 0
Dołączył(a): 2011-06-30, 15:39
psy: Bona, Keanu, Hana , Brizo (*)Hektor(*), Glenda(*)
Hodowla: Jak z Obrazka

Re: Soulbernowo

Postprzez Cefreud » 2014-02-25, 09:05

gratulacje!
Avatar użytkownika
Cefreud
 
Posty: 10797
Ostrzeżeń: 0
Dołączył(a): 2006-09-24, 21:36
psy: CeFreud (*),Wall-e i Kubuś-sz koty,Pimki(*)

Re: Soulbernowo

Postprzez asterka 15 » 2014-02-25, 19:12

Gratulacje :-D
Avatar użytkownika
asterka 15
 
Posty: 763
Ostrzeżeń: 0
Dołączył(a): 2012-12-31, 18:35
Lokalizacja: Zbąszyń
psy: Astra,Hela,Flori
Hodowla: z Krainy Wielkich Jezior

Re: Soulbernowo

Postprzez gabana » 2014-02-25, 22:08

Gratulacje!! <hura>
Avatar użytkownika
gabana
 
Posty: 423
Ostrzeżeń: 0
Dołączył(a): 2012-11-16, 15:48
Lokalizacja: Kolumna
psy: Gabana Majowy Skarbiec
Hodowla: Melle Dulcior

Re: Soulbernowo

Postprzez Marta@Amon » 2014-02-25, 23:36

Brawo <tak>
Avatar użytkownika
Marta@Amon
 
Posty: 677
Ostrzeżeń: 0
Dołączył(a): 2006-11-09, 14:33
Lokalizacja: Kraków
psy: CYNAMON (Alpejski Sen) ,AMON (Górski Żywioł (*)...

Re: Soulbernowo

Postprzez Anirysova » 2014-02-27, 14:01

Gratulacje - syn na zdjęciu wygląda jak klon tatusia :love:
Avatar użytkownika
Anirysova
Moderator
 
Posty: 5202
Ostrzeżeń: 0
Dołączył(a): 2006-09-24, 21:23
Lokalizacja: śląskie
psy: Monia, Wiki, Banu, Sisi i Duma
Hodowla: Anirys Team FCI

Re: Soulbernowo

Postprzez kreska » 2014-03-01, 23:01

Bardzo dziękuje w imieniu synusia <tak> w tatusia to on moze i sie wdal ale wzrosterm i gabarytem to go juz dawno przerósł ;-)

pozdr
Avatar użytkownika
kreska
 
Posty: 5498
Ostrzeżeń: 0
Dołączył(a): 2006-11-29, 23:48
Lokalizacja: Zielonka
psy: Fibi,Bibi,Balu,Lila,Lilawati, Solo i Łatka(*)
Hodowla: SOULBERN

Re: Soulbernowo

Postprzez Poker » 2014-03-02, 12:49

Gratulacje dla Baluska, ślicznie Ci wyrosły maluchy :love2: , no już nie maluchy tylko całkiem duże niedźwiedzie :-D
Fajnie idą razem łeb w łeb Bibi i Balus <winko> i kciukuję za dalsze sukcesy <buzki>
Poker
 
Posty: 2224
Ostrzeżeń: 0
Dołączył(a): 2006-09-25, 14:22
Lokalizacja: nad Świdrem
psy: Poker (*)Hugo(*)O MójTySmutku, Porto CzarująceOczy

Re: Soulbernowo

Postprzez kreska » 2014-03-18, 18:21

Dziękuje za kciuki <tak>
Tym czasem kolejne Soulbernowe maluchy przeszly badania z doskonałymi wynikami <juhu> według amerykańskich praktyk, kolejne prześwietlenie odbędzie się po okresie pełnego rozwoju czyli w wieku 24 miesięcy <tak>

BEE Soulbern w wieku 15 miesięcy
obrazek
Obrazek został zmniejszony.
HD + ED z wynikiem doskonałym, maksymalna punktacją OFA
obrazek
Obrazek został zmniejszony.
Wolna od chorób genetycznych oczu i serca
na certyfikat czekamy;)
DM N/N
obrazek
Obrazek został zmniejszony.

BRAWNIE Soulbern w wieku 15 miesięcy
obrazek
Obrazek został zmniejszony.
HD + ED z wynikiem doskonałym, maksymalna punktacją OFA
obrazek
Obrazek został zmniejszony.
Wolna od chorób genetycznych oczu i serca
na certyfikat czekamy;)
DM N/N
obrazek
Obrazek został zmniejszony.

:okok:

pozdr
Ostatnio edytowano 2014-03-19, 00:45 przez kreska, łącznie edytowano 2 razy
Avatar użytkownika
kreska
 
Posty: 5498
Ostrzeżeń: 0
Dołączył(a): 2006-11-29, 23:48
Lokalizacja: Zielonka
psy: Fibi,Bibi,Balu,Lila,Lilawati, Solo i Łatka(*)
Hodowla: SOULBERN

Re: Soulbernowo

Postprzez aga.s » 2014-03-18, 19:09

Wielkie gratulacje :radocha2:
Avatar użytkownika
aga.s
 
Posty: 1578
Ostrzeżeń: 0
Dołączył(a): 2011-06-27, 12:56
psy: Indiana Jones , Basanti i Gabana BPP
Hodowla: Melle Dulcior

Re: Soulbernowo

Postprzez KasiaT » 2014-03-19, 19:56

Moje wielkie gratulacje :okok: -takie psy to prawdziwy skarb :love:
Avatar użytkownika
KasiaT
 
Posty: 2484
Ostrzeżeń: 0
Dołączył(a): 2011-02-03, 15:40
Lokalizacja: Dobrzyniewo Duże
psy: Nefra-Kropelka i Obelix-Leszczyna

Re: Soulbernowo

Postprzez Aga-2 » 2014-03-20, 21:39

Super wyniki <tak> Gratuluję :!:
Aga-2
Moderator
 
Posty: 6352
Ostrzeżeń: 0
Dołączył(a): 2006-09-26, 10:37
Lokalizacja: Kraków/okolica

Re: Soulbernowo

Postprzez Poker » 2014-03-21, 00:53

Gratuluję <winko>
fajne głowy mają - panienki dziewczęce, pan Balu - męską <tak>
Poker
 
Posty: 2224
Ostrzeżeń: 0
Dołączył(a): 2006-09-25, 14:22
Lokalizacja: nad Świdrem
psy: Poker (*)Hugo(*)O MójTySmutku, Porto CzarująceOczy

Re: Soulbernowo

Postprzez kreska » 2014-04-30, 19:06

Dziekuje za gratulacje :)
Glowa byla jednym z moich założeń w tym miocie i chyba wyszło <tak>

BEE Soulbern juz niedlugo 17 miesiecy, jak ten czas leci..
obrazek
Obrazek został zmniejszony.

a to BOSS Soulbern w wieku 12 i 13 miesiecy, bardzo mi w wyrazie przypomina BEE :)
obrazek
Obrazek został zmniejszony.

obrazek
Obrazek został zmniejszony.

pozdr
Avatar użytkownika
kreska
 
Posty: 5498
Ostrzeżeń: 0
Dołączył(a): 2006-11-29, 23:48
Lokalizacja: Zielonka
psy: Fibi,Bibi,Balu,Lila,Lilawati, Solo i Łatka(*)
Hodowla: SOULBERN

Re: Soulbernowo

Postprzez Cefreud » 2014-05-01, 18:12

ale ten Boss na drugiej fotce jest Freudowy ;-) Dlatego mimo, ze nie bardzo futrzasty jest śliczny :-) Ale Buddy wymiata- gratuluję
Avatar użytkownika
Cefreud
 
Posty: 10797
Ostrzeżeń: 0
Dołączył(a): 2006-09-24, 21:36
psy: CeFreud (*),Wall-e i Kubuś-sz koty,Pimki(*)

Poprzednia stronaNastępna strona

Powrót do Galeria psiaków

Kto przegląda forum

Użytkownicy przeglądający ten dział: Brak zidentyfikowanych użytkowników i 16 gości